Parodontologia este acea specializare din medicina dentară care se ocupă cu diagnosticarea și tratarea problemelor parodontale, adică sângerarea gingiilor, retracția acestora, modificarea poziției normale a dinților precum și mobilitatea acestora, toate acestea urmate de pierderi dentare.
Această ramură a stomatologiei studiază întregul sistem ce menține dinții in oasele maxilare, acesta fiind numit parodontiu sau spațiu periodontal, de aici si numele. Medicii studiază fizionomia și anatomia acestui spațiu exterior, precum și afectiunile care ii pot dăuna.
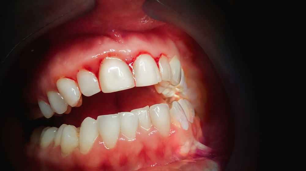
Ce este boala Parodontală:
Boala parodontală este o infecție la nivelul gingiilor care afectează și baza dintelui, datorată bacteriilor din cavitatea orală. Aceasta duce la afectarea structurilor de menținere a dintelui pe arcadă: gingia, ligamentul parodontal si osul alveolar.
În denumirea sa populară, parodontoza este una dintre cele mai periculoase afecțiuni la nivel dentar, deoarece netratată duce la pierderea ireversibilă a dinților. Pentru că afectează chiar și dinții fără alte probleme medicale, cum ar fii cariile și are o evoluție lenta, este depistată de cele mai multe ori când este prea târziu.



